Unlocking the mystery behind Barrett's esophagus
A team led by researchers at Baylor College of Medicine and Washington University School of Medicine has shed light on the process that drives Barrett’s esophagus formation. This condition affects the lining of the esophagus – the tube that carries food from the mouth to the stomach – and increases the risk of developing esophageal adenocarcinoma, a serious and often deadly cancer.
The study, published in the Journal of Clinical Investigation, reveals that two important genes involved in guiding and maintaining the identity of the esophagus and intestine, SOX2 and CDX2, are altered in Barrett’s esophagus. The findings not only deepen our understanding of how the disease develops but also open the door to new ways of identifying people at risk and potentially preventing the condition from progressing to cancer.
“Esophageal adenocarcinoma is one of the fastest growing solid cancers. It is difficult to treat, and there are no effective screening techniques available,” said first and co-corresponding author Dr. Ramon Jin, assistant professor in the John T. Milliken Department of Medicine at Washington University. Jin specializes in diagnosing and treating cancers that occur in the upper part of the digestive system, including the esophagus. “By the time I see these patients their cancer is advanced, and their life expectancy is typically measured in months.”
It was known that Barrett’s esophagus usually develops after long-term exposure to acid and bile reflux, which transforms the cells of the lining of the esophagus into cells that look more like those in the stomach and the intestine.
“The esophagus, which is not normally exposed to acid, adapts to acid reflux by becoming more like the stomach or the intestine, organs that are used to an acidic or bile-rich environment,” said co-corresponding author Dr. Jason Mills, Herman Brown Endowed Professor of Medicine Gastroenterology and Hepatology at Baylor. “Unfortunately, eliminating acid reflux with medication does not heal Barrett’s esophagus; the cells do not revert to their typical esophagus characteristics.”
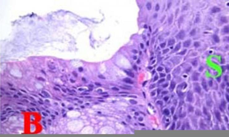
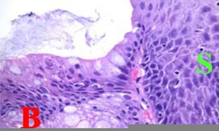
“Under the microscope, Barrett’s lesions show increased cell proliferation and a disorganized tissue with stomach-like and intestine-like cells where only esophageal cells should be,” Jin said. “If this loss of identity persists in the esophagus, the stage is likely set for cancer development.”
To gain insight into what drives the transformation of esophageal cells into stomach and intestinal cells, the team investigated transcription factors SOX2 and CDX2, which are proteins that regulate the identity of esophageal and intestinal cells, respectively.
The team created a library of organoids from patients with Barrett’s esophagus. Organoids are miniature, lab-grown versions of human esophageal tissue that mimic many characteristics of the original organ. The researchers found that the balance between SOX2 and CDX2 determined whether the cells looked more like normal esophageal cells or had started to resemble stomach or intestinal cells. Having less SOX2 and more CDX2 would tip the balance away from esophageal identity and closer to stomach or intestinal cells.
The team also developed a mouse model in which Sox2 could be selectively turned off in the esophagus. These mice showed increased cell growth, reduced cell maturation and the appearance of abnormal structures at the junction between the esophagus and stomach – closely mimicking the early stages of Barrett’s esophagus in humans. Without Sox2, the esophageal lining becomes more vulnerable to damage and transformation.
The findings support the idea that Barrett’s esophagus may arise from the acid- and bile-triggered reprogramming of normal esophageal cells by altering the balance of SOX2 and CDX2. This new understanding could help scientists find strategies to intervene earlier in the disease process as well as develop new ways to provide an early diagnosis.
Yuanwei Xu, T. Mamie Lih, Yang-Zhe Huang, Toni M. Nittolo, Blake E. Sells, Olivia M. Dres, Jean S. Wang, Qing K. Li and Hui Zhang also contributed to this work. The authors are affiliated with one or more of the following institutions: Baylor College of Medicine, Washington University and Johns Hopkins University.
For the complete list of sources of financial support for this study, see the publication.







