What Is Uterine Cancer?
Uterine cancer is the fourth most common cancer among women and the most common cancer of a woman's reproductive system.
There are two major types of uterine cancer:
Adenocarcinoma of the endometrium: Cancer that develops in the glands lining the uterus, known as the endometrium; more than 95 percent of uterine cancers are endometrial cancer
Sarcoma: Cancer that develops in the uterine muscle (the myometrium) or in the supporting tissues of the uterine glands; sarcoma accounts for only about 2 to 4 percent of all uterine cancers.
What Causes Uterine Cancer?
Uterine cancer occurs when cells in the uterus change and grow uncontrollably, forming a mass called a tumor.
The exact cause of uterine cancer is not yet known; however, the following factors may increase a woman's risk of developing the disease:
- Age. Uterine cancer most often occurs in postmenopausal women over age 50
- Obesity (for adenocarcinoma)
- Genetics. Uterine cancer may run in families with many family members diagnosed with uterine or colon cancer (Lynch Syndrome)
- Other cancers or health conditions, including colon or ovarian cancer, endometrial hyperplasia, and insulin resistance or diabetes
- Current or previous Tamoxifen use
- Radiation therapy
- Estrogen therapy
Endometrial uterine cancers are sometimes preceded by pre-cancerous lesions called hyperplasia. Hyperplasia is an overdevelopment of the endometrial glands that can turn into cancer but is not cancer. It can range from “simple” (further away from cancer) to “complex” (closer to cancer) and with or without atypia, which is a precancerous change.
What Are the Symptoms of Uterine Cancer?
In some cases, women with uterine cancer do not have symptoms. If symptoms do occur, they may include:
- Postmenopausal bleeding – any vaginal bleeding after menopause is abnormal. It is usually not cancer but it always needs to be evaluated.
- Abnormal vaginal bleeding, spotting, or discharge in a premenopausal woman
- Pain during sexual intercourse
- Pain or pressure in the pelvic area
- Longer, heavier periods than normal
- Pain or difficulty when urinating
- Bleeding or spotting between menstrual cycles
How Is Uterine Cancer Diagnosed?
Diagnosis may include:
- A thorough medical history and physical exam
- A pelvic exam and Pap test
- Imaging tests such as a transvaginal ultrasound, X-ray, or computed tomography (CT or CAT) scan to not only diagnose uterine cancer but determine if it has spread, or metastasized
- Endometrial biopsy or D&C (dilation and curettage) - a procedure to remove tissue samples from the lining of the uterus for examination under a microscope. An endometrial biopsy is a quick procedure that is performed in the office. A D&C requires anesthesia and is performed in the operating room.
How Is Uterine Cancer Treated?
Treatment depends on the individual patient and their cancer but typically involves a combination of therapies, including:
Surgery. Surgery removes the cancerous tissue, typically a hysterectomy (removal of the uterus) as well as removal of the ovaries and lymph nodes near the tumor to determine if the cancer has spread. This is the most common initial treatment for endometrial cancer.
Radiation. Radiation treatment uses high-energy x-rays to kill microscopic cancer cells that may remain after surgery.
Chemotherapy. The use of medications, typically given intravenously (through a vein) to destroy cancer cells.
Immunotherapy. Some patients with uterine cancers are candidates for immunotherapy. Immunotherapy is also given through an infusion into a vein. It works by stimulating the immune system against the cancer.
Hormone therapy. The use of progesterone, typically taken as a pill, to slow the growth of uterine cancer cells.
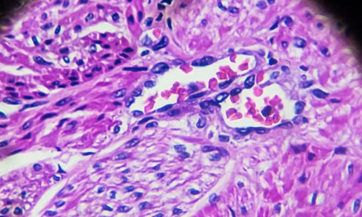
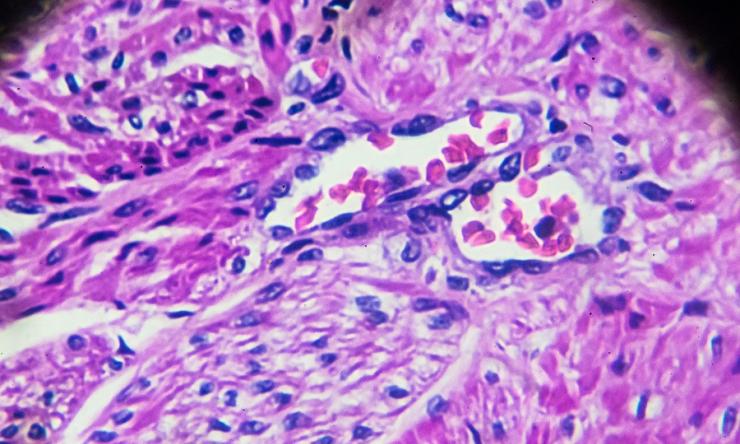
Uncovering a pathway that protects the uterus from cancer
The TGF-beta signaling pathway regulates the development of many types of cancer, but it was not clear whether it also played a role in uterine cancer, the most common gynecological cancer in the U.S.






