Our laboratory is interested in the use of mouse models of prostate cancer to explore the pathogenesis of prostate cancer and its response to treatment. We have used the SV-40 based TRAMP model of prostate cancer to explore the role of FGF2 and the PTEN tumor suppressor gene in prostate cancer progression. To accomplish this we crossed TRAMP mice to the appropriate knockout mice and follow tumor progression. Analysis of survival and the molecular phenotype and genotype of the tumors in these mice has provided insight into the role of these genes in prostate cancer progression.
In particular , analysis of prostate cancer progression in TRAMP mice bred to PTEN+/- heterozygous mice, coupled with analysis of the PTEN gene and protein in the resulting tumors, reveals that haploinsufficiency of the PTEN gene promotes prostate cancer progression in this model system. This observation provides a potential explanation for the discordance in rates of loss of heterozygosity at 10q23 and biallelic PTEN inactivation observed in prostate cancer and many human malignancies. In contrast, inactivation of even one FGF2 allele resulted in increased survival, a decrease in metastasis and inhibition of progression to the poorly differentiated phenotype in primary prostatic tumors. When compared to wild-type mice, poorly differentiated tumors arising in FGF+/-and FGF-/-mice expressed higher levels of VEGF, and in some cases, increased levels of acidic FGF intracellular binding protein, a nuclear FGF1 binding protein , than in wild-type mice.
These findings suggest that both FGF2 mediated angiogenesis and intranuclear FGF2 activities may both promote tumor progression and support the hypothesis that FGF2 plays a significant role in prostate cancer progression in vivo . We have also established a number of transgenic mouse lines expressing FGFR-4 and Il-1α and are evaluating there phenotype and potential utility as mouse models of cancer and BPH.
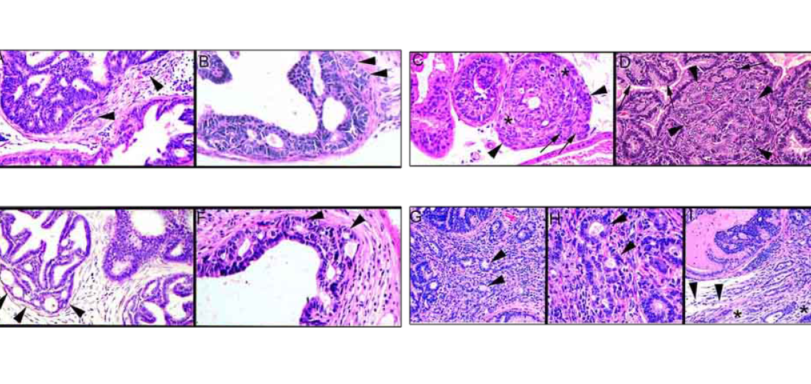
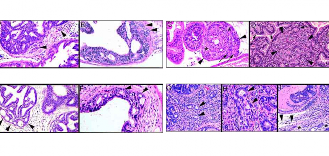
Prostatic neoplasia in the TRAMP mouse model of prostate cancer
Schematic of PTEN function
TRAMP mice
Publications
Polnaszek N, Kwabi-Addo B, Peterson L, Ozen M, Greenberg N, Ortega S, Basilico C, and Ittmann M. 2003. Fibroblast growth factor 2 promotes tumor progression in an autochthonous mouse model of prostate cancer. Cancer Res 63: 5724-5760.
Kwabi-Addo B, Giri D, Schmidt K, Podsypanina K, Parsons R, Greenberg N, and Ittmann M. 2001. Haploinsufficiency of the Pten tumor suppressor gene promotes prostate cancer progression. Proc Natl Acad Sci 98: 11563-11568.
Han G, Buchanan G, Ittmann M, Harris J, Yu X, DeMayo F, Tilley W, and Greenberg N. 2005. Mutation of the androgen receptor causes oncogenic transformation of the prostate. Proc. Natl. Acad. Sci. 102: 1151-1156.
Shappell S, Thomas G, Roberts R, Herbert R, Ittmann M, Rubin M, Humphrey P, Sundberg J, Rozengurt N, Barrios R, Ward J, and Cardiff R. 2004. Prostate pathology of genetically engineered mice: definitions and classification. The consensus report from the Bar Harbor Meeting of the Mouse Models of Human Cancer Consortium Prostate Pathology Committee. Cancer Res 64 : 2270-2305.
Kaplan-Lefko P, Chen T, Ittmann M, Barrios R, Ayala G, Huss W, Maddison L, Foster B, and Greenberg N. 2003. Pathobiology of Autochthonous Prostate Cancer in a Pre-clinical Transgenic Mouse Model. The Prostate 55: 219-237.
Freeman K, Gangula R, Welm B, Ozen M, Foster B, Rosen J, Ittmann M, Greenberg N, and Spencer D. 2003. Conditional activation of fibroblast growth factor (FGFR) 1, but not FGFR2, in prostate cancer cells, leads to increased osteopontin induction, increased extracellular signal-regulated kinase activation and in vivo proliferation. Cancer Res 63: 6237-6243.
Freeman K, Welm B, Gangula R, Rosen J, Ittmann M, Greenberg N and Spencer D. 2003. Inducible prostate intraepithelial neoplasia with reversible hyperplasia in conditional FGFR1-expressing mice. Cancer Res 63: 8256-8263.
Jin C, McKeehan K, Guo W, Jauma S, Ittmann M, Foster B, Greenberg NM, McKeehan WL and Wang F. 2003. Cooperation between Ectopic FGFR1 and Depression of FGFR2 in Induction of Prostatic Intraepithelial Neoplasia in the Mouse Prostate. Cancer Res 63: 8784-8790.
Wang F, McKeehan K, Yu C, Ittmann M, and McKeehan WL. 2004. Chronic activity of ectopic type 1 fibroblast growth factor receptor tyrosine kinase in prostate epithelium results in hyperplasia accompanied by intraepithelial neoplasia. The Prostate 58: 1-12.






